Nose cartilage cells can repair knee cartilage damage

29 August 2014

Cells taken from the nasal septum are able to adapt to the environment of the knee joint and can thus repair articular cartilage defects, according to researchers at the University and the University Hospital of Basel.

The nasal cartilage cells' ability to self-renew and adapt to the joint environment is associated with the expression of so-called HOX genes. The research is published in the journal Science Translational Medicine.

Cartilage lesions in joints often appear in older people as a result of degenerative processes. However, they also regularly affect younger people after injuries and accidents. Such defects are difficult to repair and often require complicated surgery and long rehabilitation times.

This new treatment option has now been presented by a research team lead by Prof. Ivan Martin, professor for tissue engineering, and Prof. Marcel Jakob, Head of Traumatology, from the Department of Biomedicine at the University and the University Hospital of Basel.

Cartilage cells from the nasal septum (nasal chondrocytes) have a distinct capacity to generate a new cartilage tissue after their expansion in culture. In an ongoing clinical study, the researchers have so far taken small biopsies (6mm in diameter) from the nasal septum from seven out of 25 patients below the age of 55 years and then isolated the cartilage cells. They cultured and multiplied the cells and then applied them to a scaffold in order to engineer a cartilage graft the size of 30 x 40mm.

A few weeks later they removed the damaged cartilage tissue of the patients' knees and replaced it with the engineered and tailored tissue from the nose. In a previous clinical study conducted in cooperation with plastic surgeons and using the same method, the researchers from Basel recently already successfully reconstructed nasal wings affected by tumours.

Surprising cellular adaptation

The scientists around first author Dr Karoliina Pelttari were especially surprised by the fact that in the animal model with goats, the implanted nasal cartilage cells were compatible with the knee joint profile; even though the two cell types have different origins.

During the embryonic development, nasal septum cells develop from the neuroectodermal germ layer, which also forms the nervous system; their self-renewal capacity is attributed to their lack of expression of some homeobox (HOX) genes. In contrast, these HOX genes are expressed in articular cartilage cells that are formed in the mesodermal germ layer of the embryo.

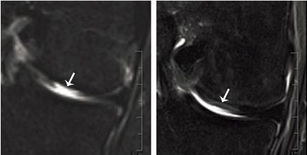
MRI of defect tissue site before (left) and four months after (right) transplantation
Articular cartilage replaced: MRI of defect tissue site before (left) and four months after (right) transplantation (Fig: Department of Biomedicine, University of Basel)

“The findings from the basic research and the preclinical studies on the properties of nasal cartilage cells and the resulting engineered transplants have opened up the possibility to investigate an innovative clinical treatment of cartilage damage”, says Prof. Ivan Martin about the results.

It has already previously been shown that the human nasal cells' capacity to grow and form new cartilage is conserved with age. Meaning, that also older people could benefit from this new method, as well as patients with large cartilage defects. While the primary target of the ongoing clinical study at the University Hospital of Basel is to confirm the safety and feasibility of cartilage grafts engineered from nasal cells when transplanted into joint, the clinical effectiveness assessed until now is highly promising.

Reference

Pelttari K, et al. Adult human neural crest-derived cells for articular cartilage repair. Science Translational Medicine, 6, 251ra120 (2014). doi: 10.1126/scitranslmed.3009688

 

To top