New method to keep leukaemia stem cells in culture will help drug discovery

15 April 2014

Two new chemical compounds that can keep alive cultures of leukemic stem cells have been discovered by a team from Université de Montréal and Maisonneuve-Rosemont Hospital in Quebec, Canada.

The discovery opens the way to the identification of new cancer drugs to fight acute myeloid leukaemia, one of the most aggressive forms of blood cancer.

Stem cells quickly lose their cancer stem cell character when grown in culture, as a result, it has been very difficult to effectively study the multiplication of cells that causes leukaemia.

The team of researchers studied leukemic stem cells from patients with acute myeloid leukemia, obtained from the Quebec Leukemia Cell Bank. After thousands of tests using various chemicals, they identified two new chemical compounds that, when added to the culture medium, can keep functional human leukemic stem cells alive for at least seven days in vitro.

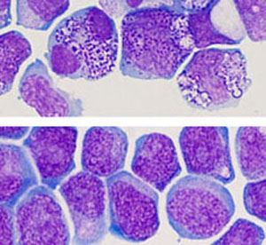
Leukaemia cells grown with and without the new chemicals
Top: Acute myeloid leukemia cells presenting anomalies in standard growth conditions. Below: Acute myeloid leukemia cells preserving their leukemic cell features following in vitro culture with the two chemical molecules referred to in the study cited.

“This research breakthrough demonstrates the advantage of working in a multidisciplinary team like the ‘Leucégène’ research group. Access to cells of leukaemia patients and to IRIC’s state-of-the-art facilities are also key factors in pursuing ground-breaking research,” wrote Guy Sauvageau, chief executive officer and principal investigator at the Institute for Research in Immunology and Cancer (IRIC)  and Dr. Josée Hébert, director of the Quebec Leukemia Cell Bank in

About leukaemia

Stem cells located in the bone marrow are responsible for the production of blood cells. Unfortunately, deregulation of those cells often produces disastrous consequences when one of them develops mutations that transform it into a malignant cell called “leukaemic”. The result is an abnormal proliferation of blood cells and the development of leukaemia. Leukaemic stem cells are also one of the likely causes of patient relapse because they are especially resistant to cancer treatments.

 

To top