First evidence of virus in prostate cancer cells
11 September 2009
In a finding with potentially major implications for identifying a
viral cause of prostate cancer, researchers at the University of Utah
and Columbia University medical schools have reported that a type of
virus known to cause leukemia and sarcomas in animals has been found for
the first time in malignant human prostate cancer cells.
If further investigation proves the virus, XMRV (Xenotropic murine
leukemia virus-related virus), causes prostate cancer in people, it
would open opportunities for developing diagnostic tests, vaccines, and
therapies for treating the cancer. The study is published online in the
Proceedings of the National Academy of Sciences. Prostate
cancer is expected to strike nearly 200,000 US males this year, making
it the second most common form of cancer, outside of skin cancers, among
men.
“We found that XMRV was present in 27% of prostate cancers we
examined and that it was associated with more aggressive tumours,” said
Ila R Singh, MD, PhD, associate professor of pathology at University of
Utah and the study’s senior author. “We still don’t know that this virus
causes cancer in people, but that is an important question we’re going
to investigate.”
 |
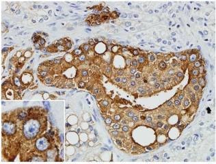
| XMRV proteins are expressed in cancer cells, as seen in this
section from a human prostate cancer. Cells showing brown,
granular staining are malignant prostate cells that express
viral proteins. Nuclei of all cells are stained blue. Inset
shows malignant cells at higher magnification. Photo credit:
University of Utah. |
Along with providing the first proof that XMRV is present in
malignant cells, the study also confirmed that XMRV is a gammaretrovirus,
a simple retrovirus first isolated from prostate cancers in 2006 by
researchers at the University of California, San Francisco (UCSF), and
the Cleveland Clinic. Gammaretroviruses are known to cause cancer in
animals, but have not been shown to do so in humans. The UCSF study did
not examine benign (non-malignant) prostate tissues, so could not link
XMRV to prostate cancer. They also did not find the virus in malignant
cells.
Singh and her fellow researchers examined more than 200 human
prostate cancers, and compared them to more than 100 non-cancerous
prostate tissues. They found 27% of the cancers contained XMRV, compared
to only 6% of the benign tissues. The viral proteins were found almost
exclusively in malignant prostatic cells, suggesting that XMRV infection
may be directly linked to the formation of tumours.
Retroviruses insert a DNA copy of their genome into the chromosomes
of the cells they infect. Such an insertion sometimes occurs adjacent to
a gene that regulates cell growth, disrupting normal cell growth,
resulting in more rapid proliferation of such a cell, which eventually
develops into a cancer. This mechanism of carcinogenesis is followed by
gammaretroviruses in general. Singh is currently examining if a similar
mechanism might be involved with XMRV and prostate cancer.
In another important finding of the study, Singh and her colleagues
also showed that susceptibility to XMRV infection is not enhanced by a
genetic mutation, as was previously reported. If XMRV were caused by the
mutation, only the 10% of the population who carry the mutated gene
would be at risk for infection with virus. But Singh found no connection
between XMRV and the mutation, meaning the risk for infection may extend
to the population at large.
While the study answers important questions about XMRV, it also
raises a number of other questions, such as whether the virus infects
women, is sexually transmitted, how prevalent it is in the general
population, and whether it causes cancers in tissues other than the
prostate.
“We have many questions right now,” Singh said, “and we believe this
merits further investigation.”
Viruses have been shown to cause cancer of the cervix, connective
tissues (sarcomas), immune system (lymphoma), and other organs. If the
retrovirus is shown to cause prostate cancer, this could have important
implications for preventing viral transmission and for developing
vaccines to prevent XMRV infection in people.
Bookmark this page