„Ur-Gen“ entdeckt — Forscher weisen Krebsgen in urzeitlichen
Vielzellern nach
24 February 2010
Auf der Suche nach den Ursachen von Krebserkrankungen haben
Biochemiker und Entwicklungsbiologen der Universität Innsbruck gemeinsam
den Ursprung eines wichtigen menschlichen Krebsgens 600 Millionen Jahre
zurückverfolgt. In Süßwasserpolypen konnten sie erstmals das Onkogen myc
nachweisen und zeigen, dass es in den urzeitlichen Tieren ähnliche
biochemische Eigenschaften wie beim Menschen hat. Die Forscher berichten
darüber in der renommierten Fachzeitschrift PNAS.
Das myc-Gen ist entscheidend am Wachstum von Organismen
beteiligt. Es erzeugt ein Protein, das als Genregulator die
Expression von 15 Prozent aller menschlichen Gene steuert. Das heißt
es kontrolliert, ob diese Gene aktiviert oder deaktiviert sind. Ist
das myc-Gen verändert, kann das Wachstum der Zellen außer Kontrolle
geraten und zu einer Krebserkrankung führen. In 30 Prozent der
menschlichen Tumore ist ein mutiertes myc-Gen nachweisbar. „Um die
Fehlsteuerung durch das Krebsgen besser zu verstehen, müssten wir
wissen, welche Gene genau durch myc reguliert werden und welche
davon für Krebserkrankungen bedeutend sind“, sagt Prof. Klaus Bister
vom Institut für Biochemie der Universität Innsbruck. Weil der
menschliche Organismus aber sehr komplex ist, arbeitet die Forschung
gerne mit einfacheren Modellorganismen. Die Ergebnisse werden dann
auf den Menschen übertragen. Genau einen solchen Organismus haben
die Innsbrucker Forscher um Klaus Bister, Markus Hartl und Bert
Hobmayer nun für das myc-Gen gefunden. Sie konnten das Krebsgen
erstmals in Süßwasserpolypen (Hydren) nachweisen und haben gezeigt,
dass es dort über ganz ähnliche Eigenschaften verfügt wie beim
Menschen.

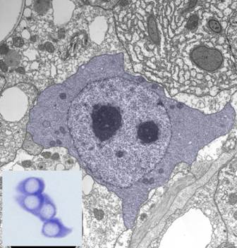
Structure of a stem cell of an ancestral
metazoan.
The insert shows the activity of the cancer gene myc
in these cells.
Photo credit: University of Innsbruck.

Expression of a cancer gene (blue) in an
ancestral metazoan (the metazoan is about 2mm long). Photo credit: University of Innsbruck.
Krebsgen in Stammzellen gefunden
Die zwei Millimeter großen Hydren haben zu den ersten Vielzellern
gehört, die sich auf der Erde vor rund 600 Millionen Jahren
entwickelt haben und sie besiedeln noch heute viele Gewässer. „Es
ist erstaunlich, dass wir dieses Krebsgen in einem so einfachen
Organismus finden konnten“, sagt der Hydren-Spezialist Hobmayer vom
Institut für Zoologie. „Dass sich das Gen in der Evolution von den
Hydren bis zum Menschen erhalten hat, ermöglicht es uns nun, an
diesen Tieren die biologischen und biochemischen Funktionen des
myc-Gens genauer zu untersuchen und dann Schlüsse auf den Menschen
zu ziehen“, ergänzt Klaus Bister. Besonders interessant ist die
Entdeckung der Innsbrucker Forscher auch deshalb, weil sie das
Krebsgen vor allem in den Stammzellen der Hydren nachweisen konnten.
„Mit unseren Untersuchungen werden wir wahrscheinlich auch
interessante Aussagen über Stammzellen machen können“, sagt Prof.
Bister. Diese Stammzellen verhelfen den Süßwasserpolypen zu einer
bemerkenswerten Regenerationsfähigkeit. Mit ihrer Hilfe erneuern
sich die Tiere in fünf Tagen vollständig und können damit
theoretisch unendlich alt werden.
Erfolg für Forschungsschwerpunkt
Entstanden ist die Forschungsarbeit in einer Kooperation von
Wissenschaftlern der Institute für Biochemie, Zoologie und
Organische Chemie an der Universität Innsbruck, die im
Forschungsschwerpunkt für Molekulare Biowissenschaften (CMBI)
zusammenarbeiten. „Die Idee, das Krebsgen in diesen urzeitlichen
Süßwasserpolypen zu suchen, entstand auf einer gemeinsamen Tagung“,
erklärt Prof. Klaus Bister, einer der Gründungsväter des CMBI und
dessen erster Leiter. „Das gemeinsame Projekt ist eine direkte Folge
der Zusammenarbeit im Forschungsschwerpunkt der Universität
Innsbruck.“ Die Ergebnisse wurden nun in der Online-Ausgabe der
angesehenen amerikanischen Fachzeitschrift Proceedings of the
National Academy of Sciences (PNAS) veröffentlicht. Der
Österreichische Wissenschaftsfonds FWF hat die Forscher bei Ihrer
Arbeit unterstützt.